Zahnersatz
Kronen
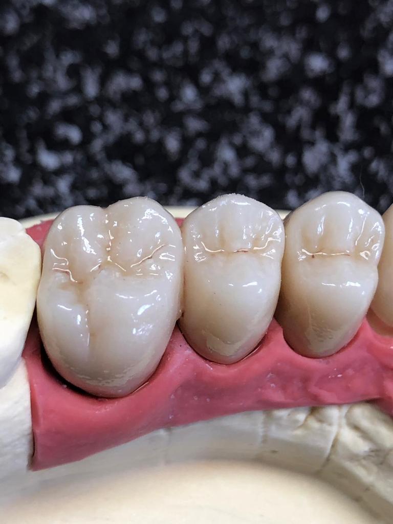
Für nicht mehr füllbare Zähne gibt es die Möglichkeit einer Überkronung.
Der nicht sichtbare Teil des natürlichen Zahnes bleibt dabei erhalten. Wir unterscheiden zwischen metall-, keramisch verblendeten Metall- und vollkeramischen Kronen.
Die Anfertigung einer Krone bedarf einer Folge von ca 3 Terminen, es sei denn wir wenden das Cerec- Verfahren an.
Der nicht sichtbare Teil des natürlichen Zahnes bleibt dabei erhalten. Wir unterscheiden zwischen metall-, keramisch verblendeten Metall- und vollkeramischen Kronen.
Die Anfertigung einer Krone bedarf einer Folge von ca 3 Terminen, es sei denn wir wenden das Cerec- Verfahren an.
Brücken
Eine Zahnlücke wird mit einer festsitzenden Brücke geschlossen. Die Brückenglieder ersetzen dabei die fehlenden Zähne, die Nachbarzähne werden als tragende Pfeiler genutzt. Sie haben die Wahl zwischen Bücken ganz aus Metall oder keramisch verblendet. Die höchste Bioverträglichkeit bieten vollkeramische Brücken, die aus parodontologischer Sicht auch das Zahnfleisch an den Kronenrändern schonen.
Vollprothesen
Totale
Sie ersetzen jeweils im Ober-oder Unterkiefer die komplett fehlenden Zahnreihen.
Mit Hilfe der modernen Zahntechnik ist vieles hinsichtlich Funktion und Ästhetik machbar.
Teilprothesen
Modellgussprothesen
Mit der Modellgussprothese werden fehlende Zähne durch Kunststoffzähne, die an einem Gerüst befestigt sind, ersetzt.
Der Modellguss wird an Nachbarzähnen durch Klammern befestigt, um besseren Halt zu gewährleisten.






